Skip to main content

Revolutionary imaging analysis app

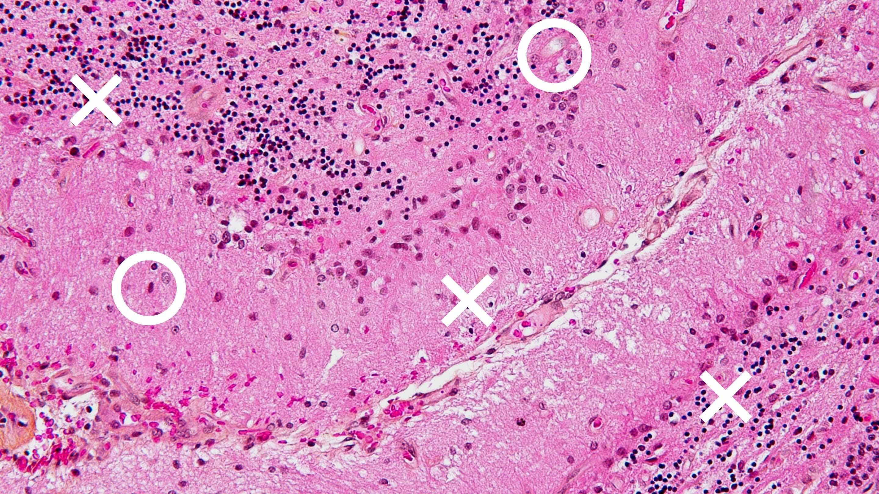
Although advanced, Pathology research tools are expensive and often housed in laboratories. Segmentum Imaging is a revolutionary iPad app designed and developed as an affordable and efficient alternative.

Segmentum image of a blood sample on a slide

Affordable pathology research tooling app

Segmentum Analysis Ltd set out to solve a common problem facing experts in neuropathology - the lack of cost-effective and efficient digital imaging analysis software. Brightec developed an accurate and shareable digital image analysis iPad app which has reduced the time taken to analyse digital images by 90%.  

Brightec led Segmentum through the various design and development phases of an app, briefed with the idea of an iOS app which would improve the efficiency of the cell-counting process. The key requirements were to make image sharing and data collection easier, whilst improving accuracy of the measurements.

We began our discovery phase with an Inception Workshop, spending time with our client to scope out the functionality and understand their goals and why they were important.  

We generated User Personas, Storyboards and Gut Reaction Tests to start to map out how the app should look from a design perspective.

Brightec developed an accurate and shareable digital image analysis iPad app which has reduced the time taken to analyse digital images

Software you can quite literally count on

The technical system architecture began with a flow diagram. As a team, and with the client, we mapped out each part of the app on our whiteboard. In our experience, this is one of the best ways to discover and build out the technical requirements for the development of each app we work on.

Throughout the design and development stages, we worked closely with the stakeholders to bring the concept to a releasable iPad app. During design, we provided Prototypes to help visualise how this would look once developed, and assist in ensuring the flow worked. It is also a great tool for illustrating the UX (User Experience) of the final product at an early stage.

We had regular progress meetings with the client in our office which, as the app developed, progressed into regular videos being sent to demonstrate the progression. As with all of our apps, the development of the Segmentum Analysis app included automated tests.

We also collaborated with Segmentum Analysis’ web development team to enable subscription sign-ups via the existing website, and to manage the database.

The finished app has a built-in automated measurement tracking tool for accuracy and the centralised data collection functionality means that images can also now easily be shared and analysed across multiple devices. We also built in the functionality to import/export csv and excel files.

"Brightec's process for understanding and designing the app was superb. The programming team was not only clear and concise in development but were excellent problem solvers, often fixing issues I had no idea how to resolve. The design of the final app was clear and intuitive and allows easy further functional improvement."
Matt Williams, Segmentum Ltd